Gentle, Expert Dental Care for Children at Vitrin Clinic
Give your child the gift of a healthy smile with compassionate, expert pediatric dental care. At Vitrin Clinic, our friendly specialists create a safe, stress-free environment for children while using advanced techniques to protect and care for growing smiles. .
Why Are You Here?
You’re not just booking a dental check-up, you’re looking for expert, gentle care that sets your child up for a lifetime of healthy smiles. Here’s why parents trust Vitrin Clinic for pediatric dentistry:
Early visits help protect developing teeth. .
Comfort and care in a stress-free environment.
Proactive care sets the foundation for lifelong oral health.
Specialized treatment for kids’ teeth and gums.
Gentle Pediatric Dental Care
Because your child’s dental health matters for a lifetime of bright smiles! You will get:
1
Compassionate Pediatric Care
2
Fun and Comfortable Environment
3
Expert Dentists for Children
4
Personalized Treatment Plans
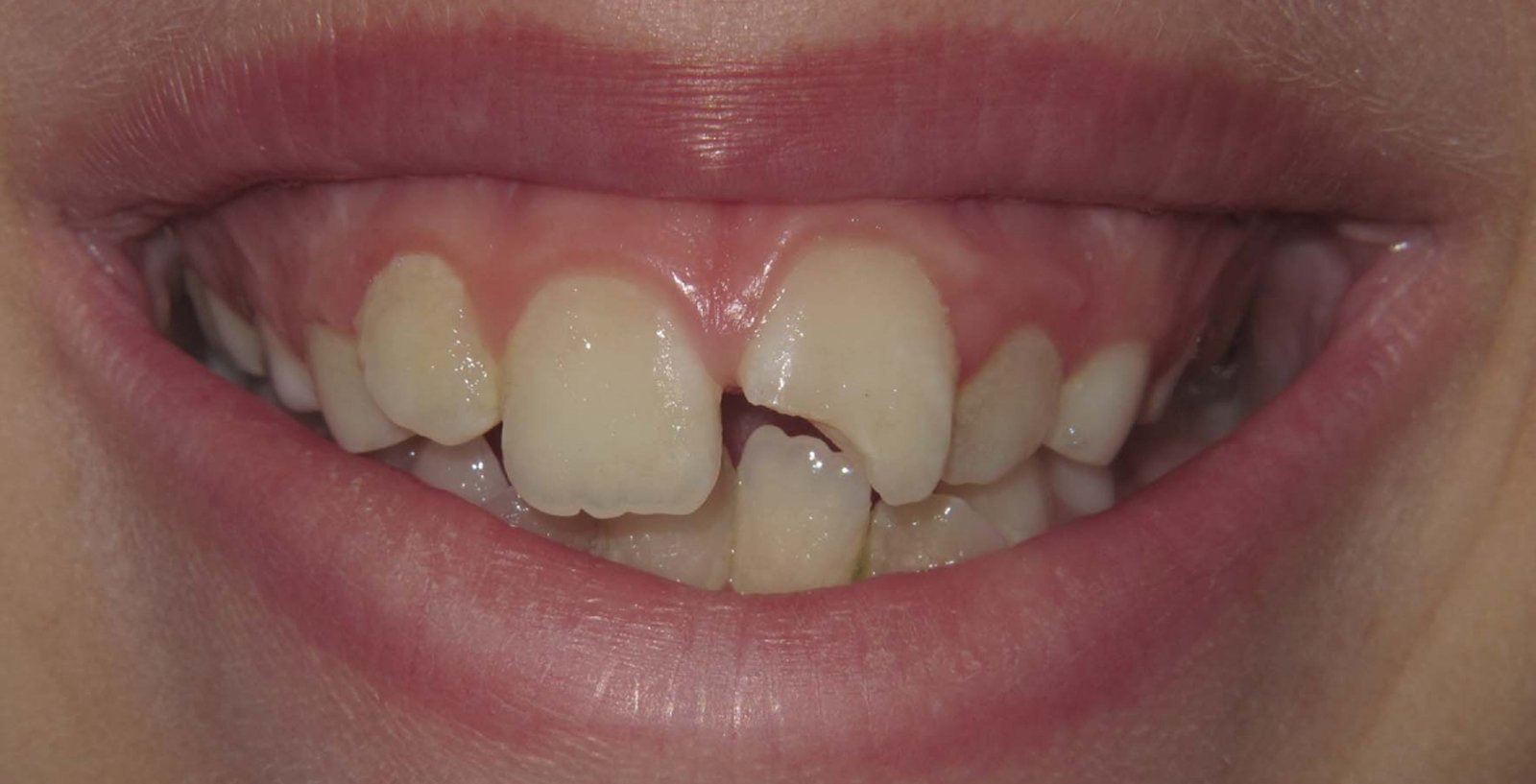
Pediatric Dentistry Ensures Smiles
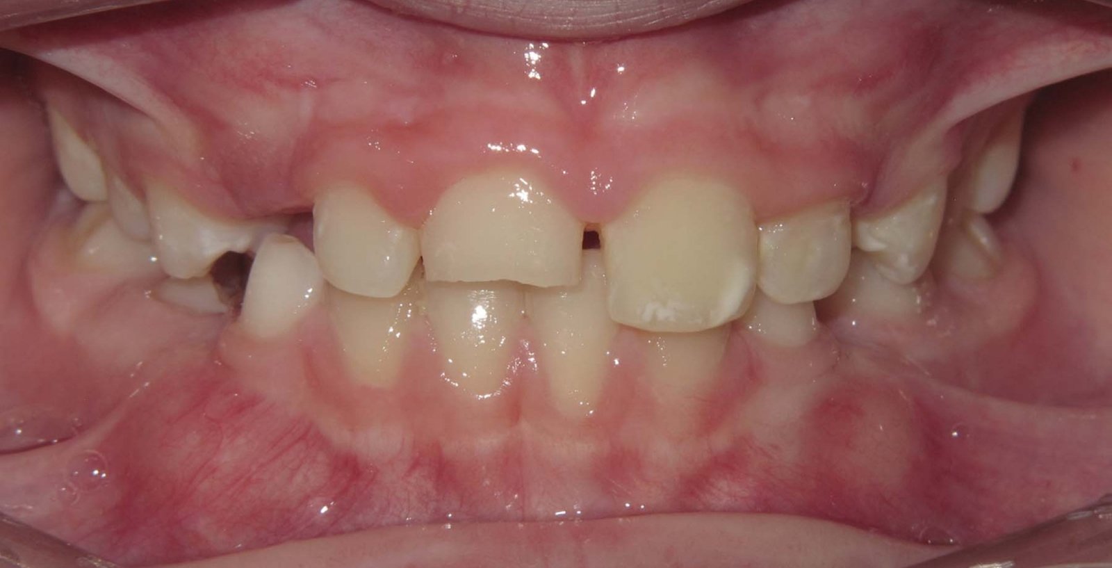
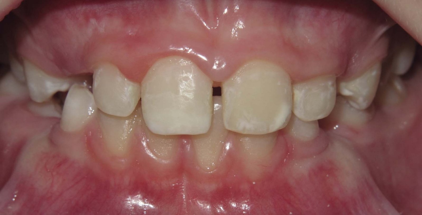
Before & After
From check-ups to gentle pediatric dentistry












Pediatric Dentistry
we offer a wide range of pedodontics services tailored to your child’s needs:
Preventive Care
Restorative Care
Habit Counseling
Orthodontic Evaluation and Treatment
Behavior Management Techniques
Oral Trauma Care
Benefits of Early Dental Visits
01. Preventing Future Problems
Early visits help identify issues early, ensuring a healthy smile into adulthood.
02.Encouraging Good Habits
Children who start dental visits early tend to maintain good oral hygiene habits.
03.Building Comfort
Regular visits help children become familiar with the dentist, reducing fear and anxiety.
FAQ
HAVE MORE QUESTIONS?Your Questions, Our Answers – Everything You Need to Know
01. What is pedodontics?
Pedodontics is a dental specialty focused on the oral health of children, from infants to teenagers.
02. When should my child first visit the dentist?
It’s recommended that children see a dentist by their first birthday or when their first tooth appears.
03. Are dental treatments for kids different from adults?
Yes, treatments are tailored to meet the specific needs and comfort of children.
04. Is pediatric dentistry painful?
Pediatric dentistry focuses on minimizing discomfort, often using gentle techniques and anesthesia when needed.
05. How can I prevent cavities in my child’s teeth?
Regular brushing, a balanced diet, limiting sugary snacks, and routine dental check-ups help prevent cavities.
